Comprehensive Dental Lab Solutions
Dedicated to Your Dental
Health and
Happiness.
About Us
Established in 1981, when ceramic restorations were done in layers, the name Lamina came to mind. Through the years, materials and techniques have changed, but our commitment to providing the dentists and their patients with the most esthetics and best fit restorations possible have remained our number one priority as well as unmatched customer service.
Our Services
Complete Care for Every Smile

All ceramic crowns and bridges
Lamina Dental Ceramics provides high-quality all-ceramic crowns and bridges designed for natural aesthetics, strength, and precision.

Implant abutments and restorations
Lamina Dental Ceramics offers precision-crafted implant abutments and restorations designed for optimal fit, strength, and natural esthetics.

Milled Full Gold Crowns
Lamina Dental Ceramics provides precision-milled full gold crowns known for their exceptional strength, accuracy, and long-term durability.

Esthetic porcelain veneers
Lamina Dental Ceramics, provides highly aesthetics, stain resistant, durable and strong, closely mimicking natural enamel veneers.

All ceramic crowns and bridges
Lamina Dental Ceramics provides high-quality all-ceramic crowns and bridges designed for natural aesthetics, strength, and precision.

Implant abutments and restorations
Lamina Dental Ceramics offers precision-crafted implant abutments and restorations designed for optimal fit, strength, and natural esthetics.

Milled Full Gold Crowns
Lamina Dental Ceramics provides precision-milled full gold crowns known for their exceptional strength, accuracy, and long-term durability.

Esthetic porcelain veneers
Lamina Dental Ceramics provides precision-milled full gold crowns known for their exceptional strength, accuracy, and long-term durability.
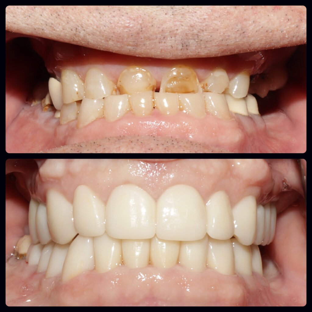
Our Gallery
Crafted Smiles, Complete Care
Everything You Need to Know
Frequently Asked
Questions
Testimonials
Our Happy Customers
Join thousands of happy patients who trust us for gentle, expert care and beautiful smiles. Your perfect dental experience starts here!

Bryan G.
Customer
"From the moment I walked in, I felt at ease. The staff made me feel like family, and the care I received was exceptional. I’m so happy with my smile—thank you for everything!"

Michael S.
Customer
"I’ve always been nervous about dental visits, but the staff made me feel completely comfortable. Their gentle care and attention to detail truly stand out."

Robert L.
Customer
"My family and I have been coming here for years. The service is exceptional, and the team always goes the extra mile to make sure we’re happy and well taken care of."

Jake M..
Customer
"I came in for a whitening treatment and left with a brand new level of confidence. The results were amazing, and the staff made it such a relaxing experience."